محققان در این مطالعه یکی از مسیرهای سیگنال دهی سلولها که با نام
«مسیر فاکتور رشد تغییردهنده بتا» شناخته میشود را بررسی کردند. این مسیر
نقش مهمی در ارتباط سلول با محیط اطراف خود دارد و به عنوان مثال رشد سلولی
و تقسیم سلولی را کنترل میکند.
پروفسور «تیم لید هانس واندال» از دانشکده پزشکی سلولی و مولکولی
دانشگاه کپنهاگ اظهار کرد که اگر این مکانیسمها آسیب ببینند، سلول ممکن
است به یک سلول سرطانی تبدیل شود و به بافت اطراف حمله کند. در شرایط عادی،
سلولهای پوست شما فقط شروع به حمله به هیپودرم و ایجاد خرابی نمیکنند.
در عوض، آنها لایه جدیدی از پوست تولید خواهند کرد. اما وقتی سلولهای
سرطانی ظاهر میشوند، سلولها دیگر به مرزهای بین لایههای پوست توجهی
نمیکنند و شروع به حمله به یکدیگر میکنند. این امر «رشد تهاجمی» نامیده
میشود.
در این مطالعه هانس واندال و همکارانش «مسیر فاکتور رشد تغییر دهنده
بتا» را مطالعه کرده و روشهایی را برای جلوگیری از رشد تهاجمی و در نتیجه
مهار رشد تهاجمی در سرطان پوست به کار گرفتهاند.
هانس واندال گفت: ما در حال حاضر داروهای مختلفی داریم که میتوانند
این مسیرهای سیگنالینگ را مسدود کنند و ممکن است در آزمایشات استفاده شوند.
ما برخی از آنها را در این مطالعه استفاده کردهایم.
برخی از این داروها قبلاً بر روی انسان آزمایش شدهاند و برخی در حال
آزمایش در ارتباط با انواع دیگر سرطان هستند. آنها همچنین میتوانند به طور
خاص روی سرطان پوست آزمایش شوند. پوست مصنوعی نزدیکترین چیزی است که ما
به پوست واقعی انسان داریم.
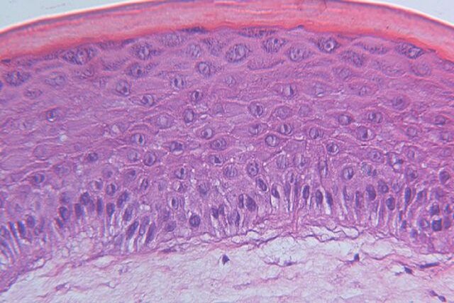
پوست مصنوعی استفاده شده توسط محققان در مطالعه جدید از سلولهای
مصنوعی و دستکاری شده ژنتیکی پوست انسان تشکیل شده است. سلولهای پوست بر
روی بافت زیر جلدی ساخته شده از کلاژن تولید میشوند. این باعث میشود که
سلولها به صورت لایهای و درست مانند پوست واقعی انسان رشد کنند.
برخلاف مدلهای موش، پوست مصنوعی به محققان اجازه میدهد تا تغییرات
ژنتیکی مصنوعی را نسبتاً سریع معرفی کنند، که این امر بینشی در مورد
سیستمهایی که از رشد و نوسازی پوست پشتیبانی میکنند، ارائه میدهد. به
این ترتیب آنها همچنین قادر به تکثیر و پیروی از پیشرفت سایر اختلالات
پوستی(نه فقط سرطان پوست) هستند.
محققان در ادامه اظهار کردند: با استفاده از پوست مصنوعی انسان، از یک
مانع بالقوه مشکلساز یعنی انتقال نتایج آزمایشها از روی مدلهای موش به
بافت انسان عبور میکنیم. پیش از این، ما در بیشتر مطالعات از این نوع از
مدلهای موش استفاده میکردیم. در عوض، اکنون میتوانیم نتیجه بگیریم که
این مواد احتمالاً مضر نیستند و میتوانند در عمل کار کنند، زیرا پوست
مصنوعی به این معنی است که ما به واقعیت نزدیکتر هستیم.
هانس واندال خاطرنشان کرد: با این حال، پوست مصنوعی به محققان اجازه
آزمایش اثر دارو بر روی کل ارگانیسم را نمیدهد. مدلهای پوستی مانند آنچه
در اینجا استفاده میشود، از اواسط دهه ۱۹۸۰ توسط شرکتهای لوازم آرایشی
استفاده شده است. ما میتوانیم تأثیر آن را با تمرکز بر روی اندام - پوست -
مطالعه کنیم و سپس در حالی که به دنبال این هستیم که مشخص کنیم آیا آنها
به ساختار پوست و سلولهای سالم پوست آسیب میرسانند یا خیر، نحوه عملکرد
مولکولها را بررسی کنیم.
انتهای پیام